矫正牙齿,作为口腔正畸的一种常见治疗方式,旨在通过各种矫正器具调整牙齿排列,改善咬合关系,以达到美观和功能的双重目的。然而,对于许多有意进行牙齿矫正的人来说,费用是一个重要的考虑因素。本文将根据搜索结果,探讨矫正牙齿所需的费用,并提供一些参考信息。

首先,牙齿矫正的费用因地区、医疗机构的级别以及公立或私立的性质而有所不同。在一些三甲医院,青少年的牙齿正畸费用相对常见且较为经济,大约在12000-13000元之间。而成年人的正畸治疗则相对复杂,效果显现较慢,费用大约在15000元左右。对于特殊正畸方法,如隐形义齿正畸,由于其较高的材料成本和技术要求,价格可能会达到40000元甚至50000元。
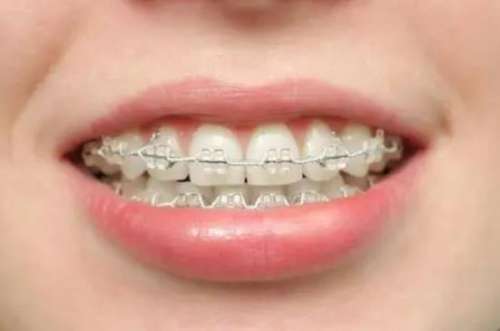
此外,根据矫正方法的不同,费用也会有所差异。隐形矫正因其美观性能良好、不影响日常生活和社交功能等优点,受到越来越多年轻人的喜爱,其费用相对较高,大约在3-4万元左右,矫正时长大约在2-3年左右。而传统的金属托槽矫正,历史悠久,矫正效果较好,费用相对较低,性价比较高,费用大概在1-2万元左右。

值得注意的是,牙齿矫正并非一蹴而就的过程,它需要患者有足够的耐心和忍耐。牙齿矫正的费用不仅包括了矫正器具的成本,还涉及到医生的专业技能、治疗方案的设计以及后续的调整和保养等多个方面。因此,患者在选择矫正方案时,应充分考虑自身的经济条件和治疗需求,同时咨询专业医师,选择最适合自己的矫正方式。
总结来说,矫正牙齿的费用受到多种因素的影响,包括矫正方法、医疗机构的级别、治疗的复杂程度等。患者在决定进行牙齿矫正之前,应详细了解各种矫正方案的费用,并根据自身情况做出合理的选择。同时,选择正规的医疗机构和专业的医生进行治疗,是确保矫正效果和口腔健康的重要前提。